情報科学 × 医学 の融合研究
アピールポイント
- 「情報科学」の画像処理等の技術と「医学」の画像診断の技術を組み合わせた研究
- 「情報科学 × 医学」の強い連携を活かした、臨床課題起点・臨床データ駆動型の研究
- 「医情連携 × 産学連携」による、研究成果の社会実装と臨床現場への還元
研究者のねらい
本研究は、放射線科医の臨床ニーズを起点とし、情報科学の専門性を有する研究者による画像処理・解析手法の研究開発を経て、医療機器メーカーとの連携による社会実装までを一貫して目指す医工産連携研究である。臨床現場における日常的なニーズに基づく研究テーマに始まり、実臨床に基づく検証を通じて実用性を重視した技術開発を進めている。研究成果を研究室内に留めることなく、医療機器としての実装・普及を視野に入れることで、放射線画像診断の質向上と臨床現場の負担軽減に貢献することを目的とする。
研究内容
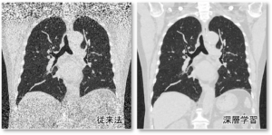
深層学習を用いた医療用CT画像の画質改善 [1]

✔ CT検査はX線を利用し、CT画像の画質は 撮影に使用した放射線強度に依存する
・被ばくを抑えて画質を保つ工夫が必要
✔ 画像処理によりノイズ低減法はノイズを抑制すると同時に画像にボケが生じる
・画像診断においてはノイズ低減と共に空間分解能の高さも重要
✔ 深層学習を利用したノイズ低減法
・深層畳み込みニューラルネットワーク
・従来型のノイズ低減フィルタと比較して、空間分解能の劣化を抑えつつノイズを低減することができる
・検査による放射線被ばくのリスクを抑えつつ、高い診断能を保つことができ、患者に優しい検査が実施可能
全身循環モデルを用いた造影CT検査の造影シミュレーション [2][3]

✔ 造影剤を利用した造影CT検査
・臓器コントラスト向上 → 診断能向上
✔ 造影剤投与法や撮影タイミングが重要
・体格等に依存し個人差が大きい
✔ コンピュータシミュレーションで検証
関連情報
【論文】[1] Deep Learning Reconstruction at CT: Phantom Study of the Image Characteristics. Academic Radiology, 2020.
[2] Minimizing individual variations in arterial enhancement on coronary CT angiographs using “contrast enhancement optimizer”: A prospective randomized single-center study. European Radiology, 2019.
【知財】[3] 特許:6740136 シミュレータ、該シミュレータを備える注入装置又は撮像システム、及びシミュレーションプログラム
研究者
檜垣 徹 HIGAKI TORU
広島大学
大学院先進理工系科学研究科
ビジュアル情報学研究室
准教授