リンパ管の病気「リンパ管奇形」に対して、漢方薬「越婢加朮湯」が有効であることを確認しました~半数以上の患者さんで患部の腫れを20%以上縮小、世界初 臨床試験で実証~
本研究成果のポイント
概要
広島大学病院漢方診療センターの小川恵子教授(研究代表者)らの研究グループは、全国8施設の小児外科・放射線科と共同で行った臨床研究において、漢方薬「越婢加朮湯(TJ-28)」が小児リンパ管奇形(lymphatic malformation: LM)に有効であることを明らかにしました。この成果は、米国医学会の国際誌 JAMA Network Open(2025 年11 月3 日号)に掲載されました。
また、本研究成果は広島大学から論文掲載料の助成を受けています。


論文情報
・論文タイトル:Eppikajutsuto for Treatment of Lymphatic Malformations in Children: A Nonrandomized Clinical Trial
・著者:Keiko Ogawa-Ochiai, MD, PhD(広島大学病院 漢方診療センター)ほか
・掲載誌:JAMA Network Open 2025 年11 月3 日
・doi:10.1001/jamanetworkopen.2025.40897
https://jamanetwork.com/journals/jamanetworkopen/fullarticle/10.1001/jamanetworkopen.2025.40897?guestAccessKey=330f0c68-47b9-46c5-8851-24ecb13f6048&utm_source=for_the_media&utm_medium=referral&utm_campaign=ftm_links&utm_
content=tfl&utm_term=110325
・試験登録番号:Japan Registry of Clinical Trials(jRCTs041210007)
・研究助成:日本医療研究開発機構(AMED)「統合医療」に係る医療の質向上・科学的根拠収集研究事業
(リンパ管奇形に対する越婢加朮湯の効果を評価する治験のプロトコール作成、リンパ管奇形に対する越婢加朮湯の効果を評価する臨床研究)
背景
リンパ管奇形とは、生まれつきリンパ管の病気の一種です。リンパ管という管がうまくつくられなかったことで、体の中の老廃物や余分な水分が袋状に溜まりコブをつくってしまう病気で、このコブが顔や首回りによくできるため、気道を圧迫して呼吸がしづらくなったり、見た目上の問題などを引き起こします。
従来の治療法である硬化療法(コブの中に薬を注射して小さくする方法)や外科手術によるコブ切除は効果がある一方で、治療後の腫れにより気道を閉塞してしまうリスクがあるほか、近年注目される「mTOR 阻害薬シロリムス」という薬は、免疫力が低下し、他の病気に感染してしまうリスクや、口内炎などの副作用が課題となっており、新たな治療法が求められていました。


難治性血管腫・血管奇形 薬物療法研究班ホームページより
研究成果の内容
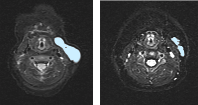
今回、リンパ管奇形の治療に「越婢加朮湯(えっぴかじゅつとう)」という漢方薬を活用することを見出しました。越婢加朮湯はむくみや炎症をやわらげる効果がある漢方薬で、古代中国の医学書『金匱要略(きんきようりゃく)』に由来します。日本では1986年に厚生労働省により承認され、保険収載されています。1 日あたり約120円程度と経済的であり、外来で安全に使用できる治療法です。
本研究では、体重25kg 以下の小児19 人に越婢加朮湯を6 か月間投与し、その効果を調べました。MRI により画像検査を行ったところ、52.6%の症例で病気の部分が20%以上縮小し、顔や首回りでは83.3%の小児に効果が見られました。副作用は軽度なものが多く、重い副作用を発症したのは1 人だけでした。また、薬の継続率も高く、約9 割が実際にきちんと飲まれており、多くの子どもが継続して治療を受けら
れたことがわかりました。
本研究は、広島大学病院を中心に、金沢大学、慶應義塾大学、大阪大学、日本大学、国立成育医療研究センター、昭和医科大学、聖マリアンナ医科大学、全国8 施設が共同で実施しました。MRI 画像解析は中央判定により行われました。
今後の展開
本研究成果は、難治性疾患に対する漢方薬の科学的有効性を示す初のエビデンスとして、国内外の小児外科・小児科・放射線科・形成外科・皮膚科・漢方医学領域に新たな治療選択肢を提供するものです。今後は、長期予後の検証や、分子標的薬との併用・比較研究を通じて、より個別化された治療モデルの確立を目指します。この結果を基に、世界のリンパ管奇形の子供たちに漢方薬での治療が可能になるように尽力したいと思っています。
報道発表資料(553.19 KB)
掲載誌:JAMA Network Open
研究者ガイドブック(小川 恵子 教授)
【お問い合わせ先】
広島大学病院 漢方診療センター
教授 小川 恵子(おがわ けいこ)
E-mail:okeiko22@hiroshima-u.ac.jp
TEL:082-257-1921(内線 6921)